「挑戰一個月內從一口爛牙變一口白牙」
患者:知名YouTuber,希露弟弟啃雞腿。
牙況:希露弟弟啃雞腿有發現自己那排可怕的牙齒,真的又黃又醜,又有很多補牙的地方,以前還被誤以為有在吃檳榔,有時候會有一些觀眾留言說他的牙齒很黃之類的,才意識到自己的牙齒在影片上有多可怕。
主要治療方式:林禹書醫師因考量到患者美觀需求及考量的臉部比例,以上排8顆美齒貼片完成療程。
治療結果:希露弟弟啃雞腿覺得很感謝選到一個非常好的團隊,林禹書醫師專業又細心,重視每一個細節,讓他看到完成後的牙齒真的覺得很值得。









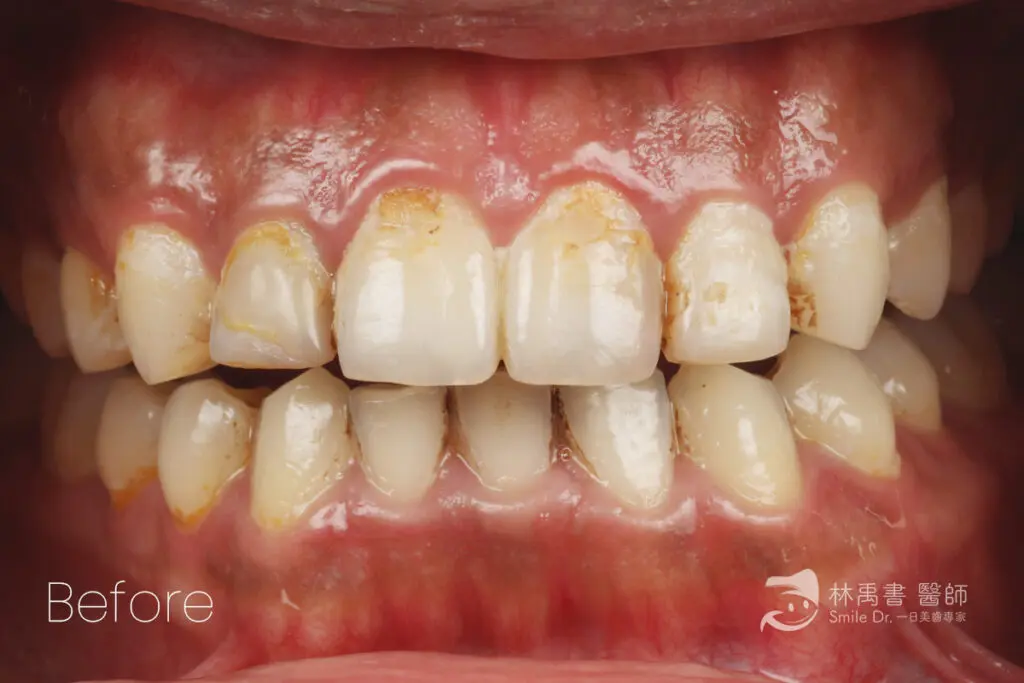
患者:知名YouTuber,希露弟弟啃雞腿。
牙況:希露弟弟啃雞腿有發現自己那排可怕的牙齒,真的又黃又醜,又有很多補牙的地方,以前還被誤以為有在吃檳榔,有時候會有一些觀眾留言說他的牙齒很黃之類的,才意識到自己的牙齒在影片上有多可怕。
主要治療方式:林禹書醫師因考量到患者美觀需求及考量的臉部比例,以上排8顆美齒貼片完成療程。
治療結果:希露弟弟啃雞腿覺得很感謝選到一個非常好的團隊,林禹書醫師專業又細心,重視每一個細節,讓他看到完成後的牙齒真的覺得很值得。
看診時間:
週二 09:30-:17:30、週六 09:30-17:30
地址:新北市土城區中央路二段276-1號
看診時間:週五 14:00-21:30
地址:新北市板橋區四川路一段277號
看診時間:週一 14:30-21:30
地址:新北市土城區中央路二段60號
看診時間:週四 09:30-17:30
地址:新北市三峽區復興路3號
看診時間:週三 14:30-21:30
地址:新北市鶯歌區仁愛路15號
© 林禹書醫師 All rights reserved. 本網頁禁止任何網際網路業者轉錄其網路資訊之內容供人點閱