更自信更完美的秘訣

「做了陶瓷貼片讓自己更有自信更完美」

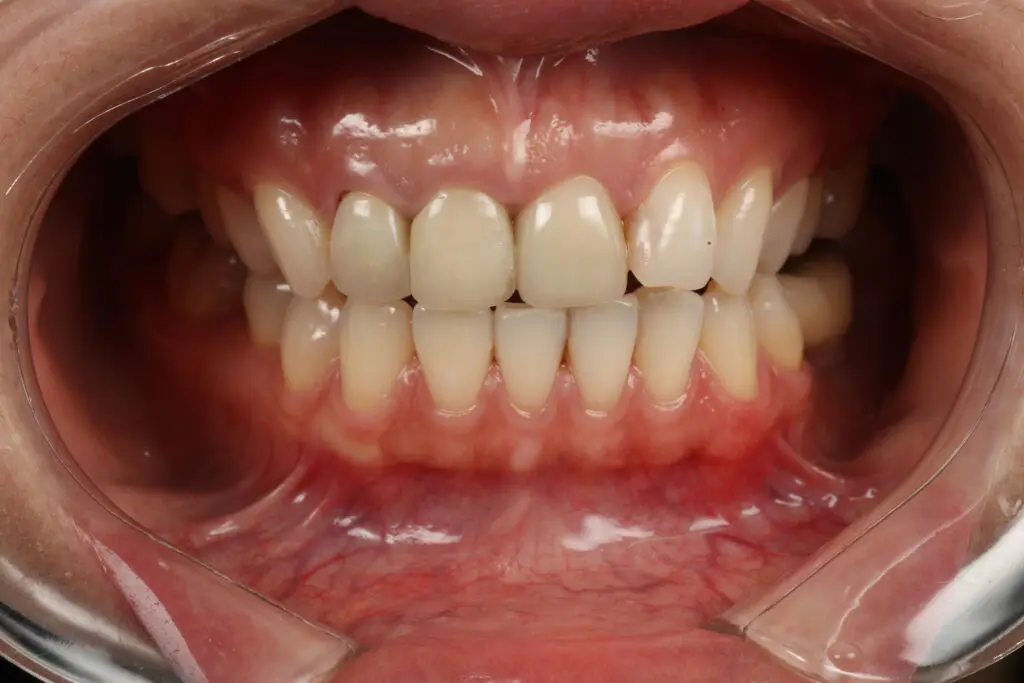
患者:醫美諮詢師/Teresa
牙況:於醫美診所工作的她,每天都在面對來診所追求變美的客人。拿著鏡子與客人諮詢討論治療計畫,講話過程中總覺得自己的牙齒顏色暗沉變黃。於是上網做了許多功課希望能改善牙齒蠟黃的問題。
主要治療方式:林禹書醫師因考量到患者美觀需求及考量的臉部比例,以上排8顆美齒貼片完成療程。
治療結果:完成療程後的她現在更加自信的服務客人,也推薦女孩們臉蛋要美牙齒更是錦上添花的關鍵。

1E6A1133
1E6A1778
1E6A1130
1E6A1784
1E6A1146
1E6A1785
S 36167691
305A5882
305A5921